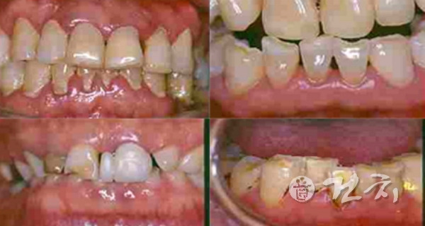
스토리/건강-스포츠 (26) 썸네일형 리스트형 산취급 근로자의 치아부식증 관리 산취급 근로자의 치아부식증 관리 최충호 승인 2017.01.19 15:06 댓글 0[소곤소곤 산업구강보건⑤] 전남대학교 치의학전문대학원 예방치과학교실 최충호 교수 근로자의 건강은 현대 산업사회에서 생산성에 영향을 주는 중요한 요소이기 때문에 근로자의 건강을 유지, 증진시키기 위한 산업보건은 매우 중요하다. 또한, 근로자의 구강건강과 관련한 산업구강보건 역시 관심을 가지고 다루어야 할 부분이다.근로자의 구강건강과 관련해 법적으로 시행되고 있는 것으로는 구강악안면조직의 손상 시에 필요한 치료와 보상에 대한 산업재해와 채용, 일반 그리고 특수구강검진의 시행 등을 생각해 볼 수 있다. 이 가운데 1992년부터 시행된 특수구강검진은 유해물질에 노출된 근로자들의 직업병을 예방하고 관리하기 위해 시행돼 왔다. 유.. 나디아 코마네치 & 버트 코너 Home | Bart Conner and Nadia ComaneciBart Conner is a retired American Olympic gymnast who won two gold medals at the 1984 Summer Olympic Games. Nadia Elena Comăneci is a Romanian retired gymnast and a five-time Olympic gold medalist. They currently own and operate the Bart Conner Gymnasticswww.bartandnadia.com ‘대학체전’ 용인대, 최종 우승···체대 서열1위 우뚝 안병길 기자 sasang@kyunghyang.com 입력 : 2024.04.22 07:55 MBC 용인대학교가 대한민국 체육대학교 서열 1위에 등극했다. 어제(21일) 방송된 ‘대학체전: 소년선수촌’(프로듀서 문형찬/ 연출 이종일/ 작가 강숙경/ 제작사 루이웍스 미디어)(이하 ‘대학체전’) 최종회에서는 용인대학교가 결승전 250kg 철 기둥 넘기기 미션에서 최종 1위를 차지, 대한민국을 대표하는 최강 체육대학교로 인정받았다. 특히 용인대학교 선배인 이대훈 코치가 직접 트로피를 수여하며 자랑스러운 모교 후배들을 칭찬해 훈훈함을 더했다. 이날 결승전은 250kg 철 기둥 넘기기 종목으로 총 2라운드로 진행됐다. 1라운드는 기록전으로 제일 저조한 성적을 거둔 학교는 결승전 문턱에서 곧바로 탈락하게 되는 만큼 .. 도핑(doping)과 스포츠 ADHD주의력 결핍 과잉행동 장애* Attention Deficit Hyperactivity Disorder ADHD주의력 결핍 과잉행동 장애* Attention Deficit Hyperactivity Disorder ADHD 있다면, 생활에 ‘이런’ 어려움 나타난다 정희은 기자 (eun@kormedi.com) - 어제 오후 7:30 강박적 식사 = ADHD 환자의 경우 자신의 행동을 제한할 수 있는 능력이 결여된 경우가 많다. 따라서 먹는 것을 조절하지 못하는 일이 생길 수 있다. 또한 뇌의 쾌락 중추에 관여하는 호르몬인 도파민 수치가 낮아 음식을 잔뜩 먹는 것으로 일시적으로 도파민 수치를 높여 기분을 좋아지게 하기도 한다. 성인 ADHD는 증상이 심각한 경우 일상생활 전반에 어려움을 겪을 수 있다. [사진=게티이미지뱅크] © 제공: 코메디닷컴 주의력 결핍 과잉행동 장애 (이하 ADHD)라고 하면 흔히 어린이.. Octagon girls Octagon girls UFC Octagon Girls Official Site Octagon girls - beauty in world of beast loading Road FC ring girls, from left, Lee A-rin, Kim Ha-yul, Park Si-hyun and Ju Da-ha, pose for a photo in July in Seoul. The four said they want to increase the popularity of Mixed Martial Arts in Korea as “The Octagon girls” did in the United States. / Korea Times photo by Shim Hyun-chul By Jung Min-ho It .. Instant Anatomy Instant Anatomy Body Head and Neck Areas/Organs Nerves Joints Muscles Surface Anatomy Vertebral Levels Arteries Veins 31년 베테랑 승마인 김형칠, 애마 밴디와 잠들다 31년 베테랑 승마인 김형칠, 애마 밴디와 잠들다 31년 베테랑 승마인 김형칠, 애마 밴디와 잠들다 2006.12.08. 15:52 “결혼 13주년 기념으로 꼭 금메달을 따오겠다고 약속했는데….” 카타르 도하 아시안게임에서 승마 종합마술경기 도중 낙마해 숨진 고(故) 김형칠(47ㆍ금안회) 선수의 부인 소원미(41) 씨는 8일 분향소가 마련된 서울 태릉선수촌에서 말을 잇지 못하고 넋이 나간 채로 눈물만 훔쳤다. 전날 오후 남편의 사망 소식을 접하고 실신한 뒤 간신히 정신을 차리고 나서도 고인이 도하로 떠나면서 했던 약속이 귓전을 맴돌아 뜬 눈으로 밤을 지새워야 했다. 소씨는 “그저께 전화 통화에서 어느 때보다 컨디션이 좋아 금메달을 딸 수 있을 것 같다더니 그게 마지막 대화일 줄 몰랐다”고 흐느꼈다. 고인.. 이전 1 2 3 4 다음